AA

Wissenschaftler entdecken neues menschliches Organ

Im Kopfbereich des menschlichen Körpers befinden sich drei weitere bedeutende Paare von Speicheldrüsen.
Im Kopfbereich des menschlichen Körpers befinden sich drei weitere bedeutende Paare von Speicheldrüsen. ©thegreenjournal.com/Radiotherapy and Oncology 2021 154292-298DOI: (10.1016/j.radonc.2020.09.034)
Ein Team niederländischer Wissenschaftler entdeckte 2021 bei der Forschung zu Prostatakrebs ein bisher unbekanntes Organ im menschlichen Körper, die Tubariusdrüse, was bedeutende Auswirkungen auf die Strahlentherapie haben könnte.

Während sie an der Erforschung von Prostatakrebs arbeiteten, machte ein Team von Wissenschaftlern aus den Niederlanden im Jahr 2021 eine überraschende Entdeckung: Sie identifizierten ein neues Organ im menschlichen Körper.

Jetzt auf VOL.AT lesen

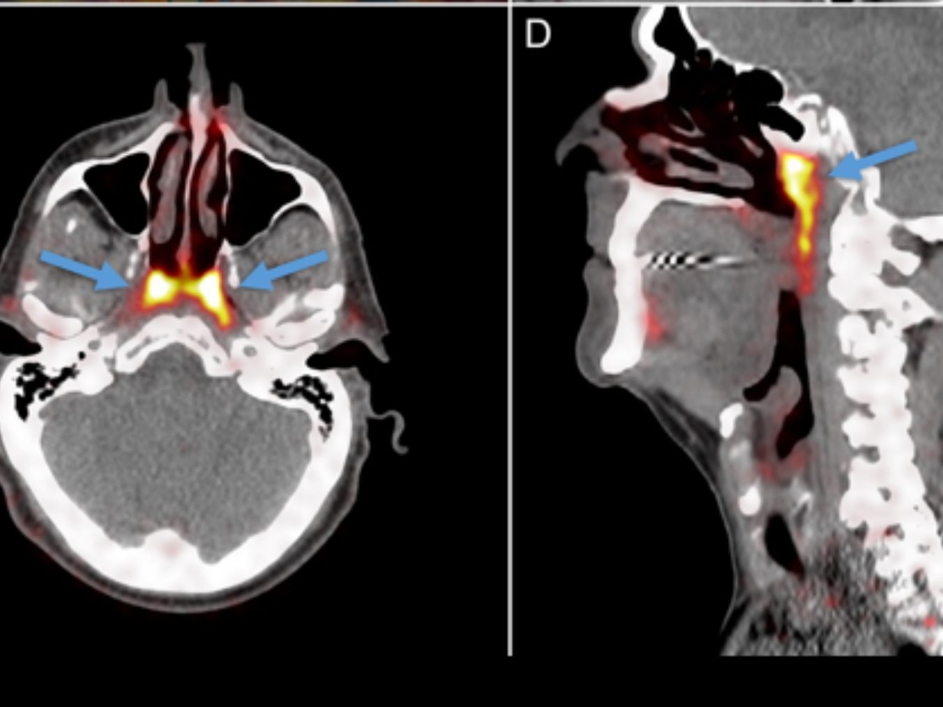
Im Netherlands Cancer Institute führte ein Team von Wissenschaftlern eine Serie von CT- und PET-Scans bei Patienten durch, denen radioaktive Glukose (Zuckerlösung) verabreicht worden war. Der Zweck war, dass der Zucker Tumore auf den Scans sichtbar machen würde, indem er an das Protein PSMA bindet, das in Prostatakrebszellen häufiger vorkommt. Interessanterweise eignet sich das PSMA-Protein auch sehr gut für die Erkennung von Speicheldrüsen. Bei der Analyse der Ergebnisse stellten die Experten fest, dass auch einige Bereiche im Inneren des menschlichen Kopfes aufleuchteten.

Die Tubariusdrüse: Eine bisher unbekannte Speicheldrüse

Während ihrer weiteren Recherche stieß das Team auf die sogenannte "Tubarial-Speicheldrüse" (Tubariusdrüse). Sie befindet sich hinter der Nase in der Nähe des Übergangs zwischen Nasenhöhle und Rachen. Diese befindet sich praktisch direkt hinter dem Gesicht und erstreckt sich über etwa vier Zentimeter. Um sicherzustellen, dass es sich nicht um zufällige Entdeckungen handelte, wiederholten die Wissenschaftler die Untersuchungen an 100 Patienten – und bei allen wurde die Tubariusdrüse festgestellt. Einige Leichen, die vom Team untersucht wurden, wiesen ebenfalls diese Drüsen auf, was darauf hindeutet, dass sie bei jedem Menschen vorhanden sind. Es wird angenommen, dass diese speziellen Drüsen dazu dienen, den oberen Hals hinter Nase und Mund zu befeuchten.

Mögliche Auswirkungen auf die Strahlentherapie

Während einer Strahlentherapie im Kopf- oder Halsbereich eines Patienten werden in der Regel die Speicheldrüsen beeinträchtigt, was zu trockenem Mund, Schluck-, Ess- und Sprechproblemen führen kann. Daher schlagen die Forscher vor, den Bereich der neu entdeckten Tubariusdrüse bei Bestrahlungen zu schonen, um so die Lebensqualität der Patienten während der Strahlentherapie zu verbessern.

Weitere Speicheldrüsen im Kopfbereich

Im Kopfbereich des menschlichen Körpers befinden sich drei weitere bedeutende Paare von Speicheldrüsen. Die Ohrspeicheldrüsen fungieren als Hauptdrüsen und produzieren den Speichel, der beim Kauen und Schlucken der Nahrung hilft. Unterhalb des Unterkiefers liegen die Unterkieferdrüsen, die den Großteil des im Mund vorhandenen Speichels produzieren. Sie befinden sich etwas oberhalb des Adamsapfels und sind ungefähr zwei Zentimeter voneinander entfernt. Abschließend gibt es noch die sublingualen Drüsen, diese befinden sich unter der Zunge.

  • VIENNA.AT
  • Gesundheit
  • Wissenschaftler entdecken neues menschliches Organ