AA

Frau verliert Kontaktlinse - Ärzte finden sie 28 Jahre später

©Glomex
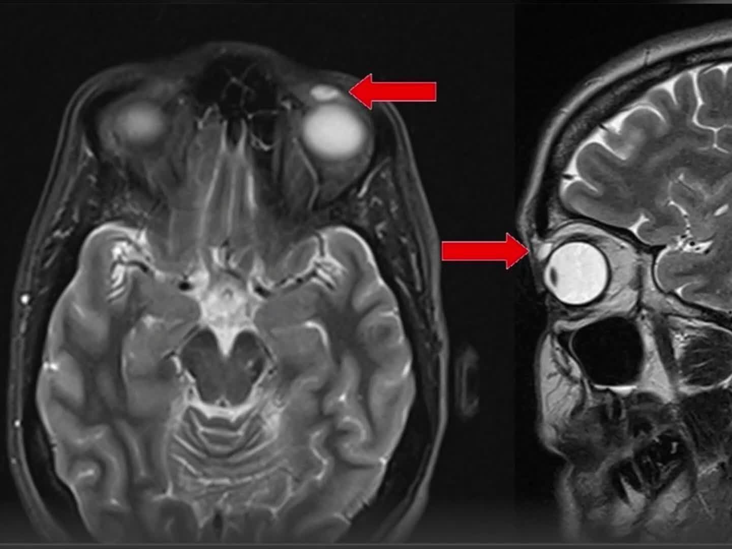
Nach dem Verlust vor 28 Jahren machen die Ärzte eine unglaubliche Entdeckung.

Ärzte haben bei einer Frau aus Großbritannien eine uralte Kontaktlinse im oberen Augenlid entdeckt. 28 Jahre lang steckte die Linse dort schon fest! Die Frau erinnert sich: Als 14-Jährige bekam sie einen Ball an den Kopf, doch dass die Kontaktlinse weiterhin in ihrem Körper war, war ihr nicht bewusst.

  • VIENNA.AT
  • Kurioses
  • Frau verliert Kontaktlinse - Ärzte finden sie 28 Jahre später
  • Kommentare
    Kommentare
    Grund der Meldung
    • Werbung
    • Verstoß gegen Nutzungsbedingungen
    • Persönliche Daten veröffentlicht
    Noch 1000 Zeichen